顺利开展冠脉慢性闭塞介入手术 为您的心脏护航
发布时间:2022-4-8 浏览次数:870

2022年3月初,60岁的聂叔叔,因“阵发性胸闷胸痛1月,加重3天入院”,住院期间行冠脉造影检查示左前降支主支自开口完全闭塞,TIMI血流0级。经过我科介入团队通力合作,历时2小时成功开通患者前降支闭塞病变。术后胸闷痛症状明显缓解,日前已顺利出院,生活质量较前提高。
冠脉慢性完全闭塞病变(CTO)是指原冠状动脉完全闭塞,经冠脉造影证实TIMI血流为0级,同时其闭塞时间大于或等于3个月的病变,是冠心病较严重的一种,与非闭塞病变相比,CTO病变介入治疗的手术成功率低,并发症发生率高,被称为冠脉介入治疗领域最后的堡垒。


【术前造影】

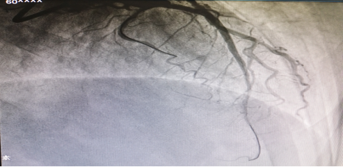
【前降支闭塞开通后造影】
由于闭塞时间长,血管内的病变会变得坚硬,同时伴有血管迂曲、钙化等,目前治疗仍首选冠脉介入治疗,但是因血管的病变复杂,介入难度大,介入治疗成功率相较其他类型冠脉病变低,而且并发症发生率较高,故对手术者及病人均是较大的挑战。
开通CTO病变,平均每台耗时2-3小时,高难度的CTO甚至需要5-6小时,手术时间长,手术成功率低,医生和患者在手术过程中需接受一定剂量的辐射,对术者的介入技术水平有着很高的要求。
北京中医医院顺义医院心血管科自2020年自主开展的冠脉CTO病变手术 ,仅2022年1月至3月已开展了6例CTO介入手术,5例开通成功,标志着我院心血管领域CTO开通技术再次上新的台阶,将为更多的区域冠心病患者带来福音。


